My most recent experience with a foreign object trapped in my own body involved a chopstick. I was at our favorite local sushi restaurant and after removing the paper sheath from the chopsticks, I rubbed the tops of them together to enjoy a smooth eating utensil. This was a really bad idea. As my finger slid along the chopstick ever so gingerly, a tiny wood shaving lodged deep inside my finger where it stayed for THREE STINKING WEEKS!
Despite my best efforts, I couldn’t see the sliver nor could I tweeze or soak it out. The Hubs and the OS learned of my sliver woes on a daily, if not hourly basis for nearly a month. Each time my West Point OS called home, I gave him a “sliver update.” I even thought about going to the doctor. And then one day, in a pain I liken to childbirth, the sliver decided to move elsewhere and poof, it was gone. Huh.
![]() |
| oh herro dere, sewing needle! long time, no see! |
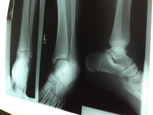
Many of us have weird corpus alienum stories. Take, for example my cousin’s husband who fell a few days ago. Concerned, Ben went to the doctor and got an x-ray. Ben learned three things that day.
1. He hadn’t broken anything
2. He had a moderate to severe sprain requiring rest
and 3. (prepare yourselves, friends)…Ben has a sewing needle in his foot.
Apparently when Ben was a kid, he must have stepped on a sewing needle. It has been living in his heel peacefully for 20+ years.
The post on his facebook has elicited much conversation. I have removed names of people who have commented on Ben’s status but I had to show you what his friends and family have said.
-
-
Man, I stepped on a sewing needle when I was in high school and limped around for a while. After a week, or so it felt beter so I went on about life. Three months later a boil appeared on my thigh and when I popped it I saw what looked like a splinter. I pulled a sewing needle out with tweezers.16 hours ago ·
I can’t figure out if my favorite comment is that my uncle had a thorn buried in his head for a couple of years that he didn’t know about (which explains a lot!) or if it’s Ben’s friend who said he stepped on a sewing needle in high school. The guy limped around for a while and after a week or so, he felt better. Then three months later, a boil appeared on his thigh. When he popped it (sorry about the disgusting word picture!), he saw what looked like a splinter. But it wasn’t a splinter, instead he pulled a sewing needle out of his thigh with a pair of tweezers.
![]() |
| At least one of these guys, (all members of my extended family, btw), currently has a sewing needle living in his foot. Good times. |
So here’s my question. Do you have a strange splinter, chopstick or a sewing needle story? I’d love to hear about it. I’ll even sweeten the deal, I will write on a slip of paper the names of each person who comments on this post and next Friday, January 27th, I will draw a winner. I will then send the person a little something I’ve made with a sewing needle! I’ll announce the winner on January 28th. If you comment on my blog or on my facebook about this post, you’ll be in the epic drawing!


1













Kristen had a huge splinter from our deck in her foot when she was a wee little girl. It was one of those sultry summer evenings here in the South and the windows were open. I was preparing to remove it when she started screaming bloody murder. I sat there for at least ten minutes with her in my lap while she screamed like I was going to kill her. I'm sure the neighbors thought so anyway! The splinter was so huge it came right out and Kristen smiled and said, "that didn't hurt a bit!". Good grief!
I felt a bump on my head one time and couldn't figure out what it was. I had my mom check it out, and with such determination she worked on it till she pulled a feather out of my head! I guess it got stuck in my head while I was sleeping on my feather pillow!
That also explains a lot, Melissa! HA! Love it!
I shall explain "my lifelong fear of needles". When I was about ten or eleven, I guess, my family went on our yearly vacation from Illinois to Philadelphia, Mississippi. We were staying at Mamaw and Papaw's house so far out in the country that they had an outhouse and no hot water (yes we had to heat it up on a stove for bath water). But I digress. Mamaw's sewing machine was the kind where it had a peddle underneath that you would move back and forth with your foot to get the needle to go up and down to sew. Well I had, and kinda still do, this weird, I don't know if I would call it an obsession or not, but this strange curiosity to feel sharp things whether they be needles or knives. Well I put my foot on the peddle to move the needle up and put my fore finger on the point of the needle and you guessed it my foot moved. Down came the needle into my finger and the pain made me jerk my finger away so hard that the needle broke in half with one half in the sewing machine and the other sticking out of my finger. This was no small needle. It was pretty thick. From what I remembered it must have been at least a 16 or 18. Well I ran to my Mama and she pulled it out and I never went by that sewing machine again. Oh and I also have a piece of lead in my inner right thigh. When I was in elementary school I dropped my #2 lead pencil and reflexively snapped my legs together to catch it. Not the brightest thing I have ever done. The point broke off in my leg and I can see it to this day. I have not died of lead poisoning yet. (Will send pictures upon request.)
Uncle Jeff, we need pics! The next time I am near your thigh, I must see this! Those are legendary stories that need to be told! Thanks for sharing and grossing me out!
Okay, the post and the facebook bit made me almost spit my coffee out. OMG. But then I read Uncle Jeff's post and I can't. stop. laughing. Sam got a very large splinter in his finger about a month ago. I don't remember where it came from, but it was big. Charlotte could have pulled the thing out. But Sam would not let us near it. He kept crying about how much it hurt, but he wouldn't let Tim or me get it out. We tried to reason with him; if he left it in it would get infected and then his finger would have to come off. I tried to explain to him how it actually feels good to get a splinter out. Nope. He laid on the bed, carrying on like he had been mortally maimed. I even pulled out the big guns and reminded him about how Charlotte had her chest cut open and then had to walk around with tubes jammed in her chest, and even she did not cry as much as he was crying with that splinter. Anyway, he finally let Tim pull it out with tweezers, and sure enough he admitted that it wasn't so bad.
Hey… I'm not family, and I don't have a needle story but I do have a foreign object story.When my mom was little she would visit her cousin's grandmother's house in the country… no running water, etc. The children had to wash their hands before eating on the porch in a washing bowl.My mom was in grade school and was wearing a very special ring given to her by her father. Somehow the ring fell off during the hand washing and fell between the cracks on the porch to underneath the porch. Of course, everyone searched long and hard for the ring under the porch…nothing.My mom was very sad to have to return home without the ring and to face her daddy who had given her this special family heirloom.Weeks later… a package arrived. My mom opened up the package, and there was her ring! When the family killed their chicken for their Sunday dinner, the ring was inside the chicken and had been there all along.Moral of the story:Chickens love shiny objects, so keep your sewing needles away from them!
Hillcrest Cottage aka Bev,I'm not sure if I am grossed out or completely delighted! I lost my pearl necklace my dad gave me after college graduation, did they happen to find a pearl necklace in the chicken??? Thanks for sharing! Loved it!